小鼠细胞

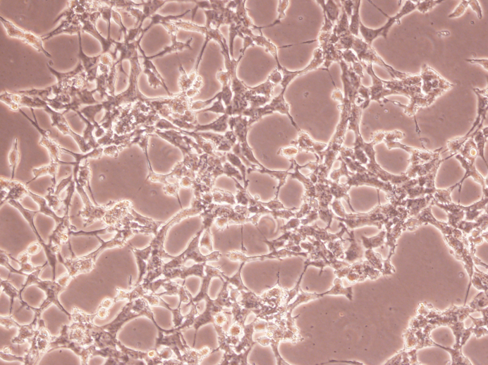
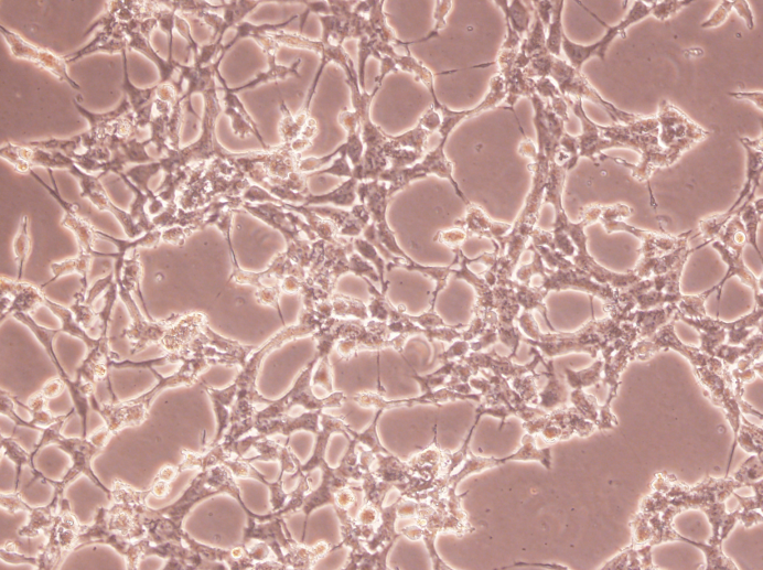
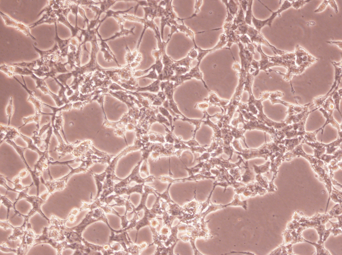
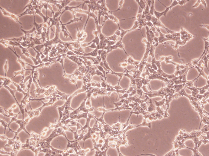
- 小鼠口腔鳞状细胞癌细胞;MOC1
- 恒远生物致力于建设国内最大、种类最全的细胞与微生物标准制品资源库,为大学、科研机构及生物医药研发企业提供高质量、可回溯、品控可靠的生物制品。主要包括原代细胞及通用细胞株、细胞培养周边试剂、微生物标准品等产品的开发、生产、储存和销售。欢迎来电咨询!
细胞名称: 小鼠口腔鳞状细胞癌细胞;MOC1
产品价格: 3450元
细胞别称:Mouse Oral Cancer 1
产品规格: 1×106cells/T25 培养瓶
生长特性: 贴壁生长
细胞形态: 上皮细胞样
培养体系:
IMDM:F12(2:1)+ 10%FBS + 2.5mg/ml insulin + 20ug Hydrocortisone
+ 2.5ug EGF +1% P/S
传代比例: 1:2~1:3
消化时间: 2-3min
冻存条件: 无血清细胞冻存液(科研级)
培养环境: 气相:空气,95%;二氧化碳,5%。温度:37℃。
注意事项:收集细胞瓶中完全培养基做过渡对比培养
常温细胞收货后处理方法
1. 收到细胞后,首先观察培养瓶是否完好,若发现培养瓶有破裂,培养基外溢、浑浊等现象,请及时拍照并与我们联系。
2. 用 75%酒精对培养瓶表面进行消毒处理,将培养瓶置于细胞培养箱中静置培养 2~4 h,以恢复细胞状态。
3. 静置完成后,取出培养瓶,显微镜下观察细胞生长情况,并对细胞进行不同倍数拍照保存(40×,100×,200×各一张)前三天照片为重要售后依据。如发现细胞异常请及时与我们联系,如果细胞签收三天内未与我们联系,则默认为收货良好。
4. 若细胞密度超过 80%,则可以根据提供的细胞培养步骤进行传代或冻存;若细胞密度未达到80%,收集瓶中完全培养基,留 6mL 培养基,放入细胞培养箱中继续培养。
在线询价
- *
- *
- *
- *
- *
-
*
);)
相关产品
小鼠单核巨噬细胞白血病细胞; RAW264.7
恒远生物致力于建设国内最大、种类最全的细胞与微生物标准制品资源库,为大学、科研机构及生物医药研发企业提供高质量、可回溯、品控可靠的生物制品。主要包括原代细胞及通用细胞株、细胞培养周边试剂、微生物标准品等产品的开发、生产、储存和销售。欢迎来电咨询!
查看详细小鼠结缔组织L细胞株929克隆 L-929
恒远生物致力于建设国内最大、种类最全的细胞与微生物标准制品资源库,为大学、科研机构及生物医药研发企业提供高质量、可回溯、品控可靠的生物制品。主要包括原代细胞及通用细胞株、细胞培养周边试剂、微生物标准品等产品的开发、生产、储存和销售。欢迎来电咨询!
查看详细OP9小鼠骨髓基质细胞
恒远生物致力于建设国内最大、种类最全的细胞与微生物标准制品资源库,为大学、科研机构及生物医药研发企业提供高质量、可回溯、品控可靠的生物制品。主要包括原代细胞及通用细胞株、细胞培养周边试剂、微生物标准品等产品的开发、生产、储存和销售。欢迎来电咨询!
查看详细



