欢迎选择我们,上海恒远生物科技有限公司!免费服务热线:400-0899-208          防伪查询

语言:Eng

您当前的位置:
首页>
产品中心>
抗体>
单克隆抗体>
NPPB Monoclonal Anti...

单克隆抗体

NPPB Monoclonal Antibody

  恒远生物抗体平台现已拥有4万多种抗体(含单抗和多抗),包括人类常用抗体,模式生物类相关抗体、小分子抗体、二抗、标签抗体及内参抗体等。并以每年4000种的速度在持续增长。

  恒远生物拥有专业的质控团队,配备先进实验仪器,现已成功地建立了ChIP平台,因此我们的抗体不仅能提供Biotin、FITC、HRP等标记,大部分抗体都能进行ELISA、WB、IHC、IF、IP、ChIP等应用验证。

  我们致力于为所有用户提供高亲和力、高特异性的优质抗体,欢迎来电咨询。

NPPB Monoclonal Antibody

 
  • 货号:
    HYK-200253
  • 规格:
     
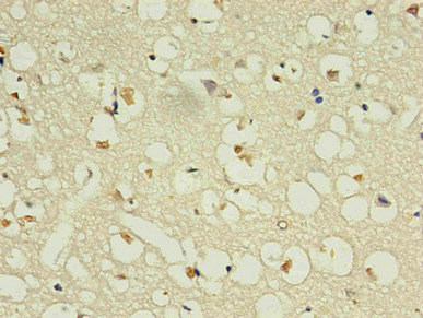
  • 图片:
    • Immunohistochemistry of paraffin-embedded human brain using CSB-MA168601A0m in 30μg/ml dilute concentrations.

产品详情

  • 产品名称:
    mouse anti-Homo sapiens (Human) NPPB monoclonal antibody
  • Uniprot No.:
    P16860
  • 基因名:
    NPPB
  • 别名:
    ANFB_HUMAN antibody; BNP antibody; BNP(1-32) antibody; BNP(5-29) antibody; BNP-32 antibody; Brain type natriuretic peptide antibody; Gamma brain natriuretic peptide antibody; Gamma-brain natriuretic peptide antibody; Natriuretic peptide precursor B antibody; nppb antibody; NT proBNP antibody
  • 宿主:
    mouse
  • 反应种属:
    Human
  • 免疫原:
    Recombinant Human NPPB Protein
  • 免疫原种属:
    Homo sapiens (Human)
  • 标记方式:
    Non-conjugated
  • 克隆类型:
    monoclonal
  • 抗体亚型:
    IgG2b
  • 纯化方式:
    >95%,Protein G purified
  • 克隆号:
    1E1F4
  • 浓度:
    It differs from different batches. Please contact us to confirm it.
  • 保存缓冲液:
    Preservative: 0.03% Proclin 300Constituents: 50% Glycerol, 0.01M PBS, PH 7.4
  • 产品提供形式:
    liquid
  • 应用范围:
    ELISA,IHC
  • 推荐稀释比:
    Application Recommended Dilution
    IHC 1:50-1:500
  • Protocols:
    ELISA Protocol
    Immunohistochemistry (IHC) Protocol
  • 储存条件:
    Upon receipt, store at -20°C or -80°C. Avoid repeated freeze.
  • 货期:
    Basically, we can dispatch the products out in 1-3 working days after receiving your orders. Delivery time maybe differs from different purchasing way or location, please kindly consult your local distributors for specific delivery time.


TGM2 Monoclonal Antibody

MYCBP Monoclonal Antibody

TP53 Monoclonal Antibody

MSH6 Monoclonal Antibody

CD81 Monoclonal Antibody

RRM1 Monoclonal Antibody


在线询价

  • *
  • *
  • *
  • *
  • *
  • *

相关产品

AHSG Monoclonal Antibody

AHSG Monoclonal Antibody

恒远生物抗体平台现已拥有4万多种抗体(含单抗和多抗),包括人类常用抗体,模式生物类相关抗体、小分子抗体、二抗、标签抗体及内参抗体等。并以每年4000种的速度在持续增长。

查看详细
HSPA8 Monoclonal Antibody

HSPA8 Monoclonal Antibody

恒远生物抗体平台现已拥有4万多种抗体(含单抗和多抗),包括人类常用抗体,模式生物类相关抗体、小分子抗体、二抗、标签抗体及内参抗体等。并以每年4000种的速度在持续增长。

查看详细

请输入搜索关键字

确定