欢迎选择我们,上海恒远生物科技有限公司!免费服务热线:400-0899-208          防伪查询

语言:Eng

您当前的位置:
首页>
产品中心>
抗体>
重组抗体>
ACTA1 Antibody

重组抗体

ACTA1 Antibody

  恒远生物抗体平台现已拥有4万多种抗体(含单抗和多抗),包括人类常用抗体,模式生物类相关抗体、小分子抗体、二抗、标签抗体及内参抗体等。并以每年4000种的速度在持续增长。

  恒远生物拥有专业的质控团队,配备先进实验仪器,现已成功地建立了ChIP平台,因此我们的抗体不仅能提供Biotin、FITC、HRP等标记,大部分抗体都能进行ELISA、WB、IHC、IF、IP、ChIP等应用验证。

  我们致力于为所有用户提供高亲和力、高特异性的优质抗体,欢迎来电咨询。

ACTA1 Antibody

 
  • 货号:
    HYK-200292
  • 规格:
     
  • 图片:
    • Western Blot
      Positive WB detected in:Hela whole cell lysate,A549 whole cell lysate,Raw264.7 whole cell lysate,NIH/3T3 whole cell lysate,HepG2 whole cell lysate,Rat brain tissue,Rat heart tissue
      All lanes:Actin antibody at 0.95μg/ml
      Secondary
      Goat polyclonal to rabbit IgG at 1/50000 dilution
      Predicted band size: 42 KDa
      Observed band size: 42 KDa
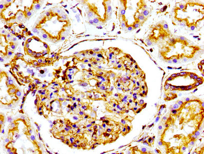
    • IHC image of CSB-RA001205A0HU diluted at 1:100 and staining in paraffin-embedded human kidney tissue performed on a Leica BondTM system. After dewaxing and hydration, antigen retrieval was mediated by high pressure in a citrate buffer (pH 6.0). Section was blocked with 10% normal goat serum 30min at RT. Then primary antibody (1% BSA) was incubated at 4°C overnight. The primary is detected by a biotinylated secondary antibody and visualized using an HRP conjugated SP system.
    • Immunofluorescence staining of HepG2 cells with CSB-RA001205A0HU at 1:60,counter-stained with DAPI. The cells were fixed in 4% formaldehyde, permeabilized using 0.2% Triton X-100 and blocked in 10% normal Goat Serum. The cells were then incubated with the antibody overnight at 4°C.The secondary antibody was Alexa Fluor 488-congugated AffiniPure Goat Anti-Rabbit IgG (H+L).

产品详情

  • Uniprot No.:
    P68133
  • 基因名:
    ACTA1
  • 别名:
    a actin antibody; ACTA antibody; ACTA1 antibody; ACTA2 antibody; ACTC antibody; ACTC1 antibody; Actin antibody; ACTS_HUMAN antibody; ACTSA antibody; Alpha 2 actin antibody; alpha skeletal muscle antibody; Alpha-actin-1 antibody; Cardiac muscle alpha actin 1 antibody; Skeletal muscle alpha actin 1 antibody
  • 反应种属:
    Human
  • 免疫原:
    A synthesized peptide
  • 免疫原种属:
    Homo sapiens (Human)
  • 标记方式:
    Non-conjugated
  • 克隆类型:
    Monoclonal
  • 抗体亚型:
    Rabbit IgG
  • 纯化方式:
    Affinity-chromatography
  • 浓度:
    It differs from different batches. Please contact us to confirm it.
  • 保存缓冲液:
    Rabbit IgG in phosphate buffered saline, pH 7.4, 150mM NaCl, 0.02% sodium azide and 50% glycerol.
  • 产品提供形式:
    Liquid
  • 应用范围:
    ELISA, WB, IHC, IF, FC
  • 推荐稀释比:
    Application Recommended Dilution
    WB 1:500-1:5000
    IHC 1:50-1:500
    IF 1:30-1:200
  • Protocols:
    ELISA Protocol
    Western Blotting (WB) Protocol
    Immunohistochemistry (IHC) Protocol
    Immunofluorescence (IF) Protocol
    Flow cytometry (FC) Protocol
  • 储存条件:
    Upon receipt, store at -20°C or -80°C. Avoid repeated freeze.
  • 货期:
    Basically, we can dispatch the products out in 1-3 working days after receiving your orders. Delivery time maybe differs from different purchasing way or location, please kindly consult your local distributors for specific delivery time.


Histone H2B type 1-K Antibody

Histone H4 Antibody

Histone H3.1 Antibody

CD99 Antibody

CD74 Antibody

CD163 Antibody


在线询价

  • *
  • *
  • *
  • *
  • *
  • *

相关产品

组胺受体H2抗体

组胺受体H2抗体

恒远生物抗体平台现已拥有4万多种抗体(含单抗和多抗),包括人类常用抗体,模式生物类相关抗体、小分子抗体、二抗、标签抗体及内参抗体等。并以每年4000种的速度在持续增长。 恒远生物拥有专业的质控团队,配备先进实验仪器,现已成功地建立了ChIP平台,因此我们的抗体不仅能提供Biotin、FITC、HRP等标记,大部分抗体都能进行ELISA、WB、IHC、IF、IP、ChIP等应用验证。 我们致力于为所有用户提供高亲和力、高特异性的优质抗体,欢迎来电咨询。

查看详细
Phospho-Histone H3.3 (T3) Antibody

Phospho-Histone H3.3 (T3) Antibody

恒远生物抗体平台现已拥有4万多种抗体(含单抗和多抗),包括人类常用抗体,模式生物类相关抗体、小分子抗体、二抗、标签抗体及内参抗体等。并以每年4000种的速度在持续增长。

查看详细
CD163 Antibody

CD163 Antibody

恒远生物抗体平台现已拥有4万多种抗体(含单抗和多抗),包括人类常用抗体,模式生物类相关抗体、小分子抗体、二抗、标签抗体及内参抗体等。并以每年4000种的速度在持续增长。

查看详细

请输入搜索关键字

确定